뇌종양 수술센터

수술이 필요한 치료를 비수술적인 방법으로 보다 안전하고 빠른 치료를 제공합니다.

뇌종양수술센터

고도의 집중력과 정교함으로
반려동물의 생명을 지켜냅니다

리더스동물의료원 뇌종양수술센터는 전문 뇌수술팀의 풍부한 임상 경험과 교육 노하우를 통해 신경계 질환의 높은 수준의 수술을 진행합니다.

01

전문 뇌수술팀의 노하우

중추신경 관련 교육 활동을 활발히 이어가는 전문의들이 임상 경험과 교육 노하우를 바탕으로 가장 높은 수준의 수술을 진행합니다.

02

오차 없는 정밀 수술

형광 염색과 고해상도 수술 현미경을 이용해 정상 조직과 종양을 정확히 구분하며, 뇌조직 손상을 최소화하여 부작용을 줄입니다.

03

체계적인 통합 진료

뇌종양, 척수 질환, 수두증 등 다양한 신경계 질환에 대해 정밀 진단부터 수술, 재활까지 이어지는 원스톱 시스템을 제공합니다.

리더스동물의료원 뇌종양수술센터의 강점

리더스동물의료원은 AAHA 및 VECCS 인증을
받은 24시간 응급 동물병원으로,
응급 상황에서도 즉각적인 대응이 가능한
진료 환경을 갖추고 있습니다.

01 정밀 영상 진단 장비 운영

초음파, CT, MRI, C-arm 등 다양한 영상 진단 장비를 통해 뇌종양의 위치, 크기, 주변 신경 구조와의 관계를 정밀하게 평가합니다.

02 브레인 네비게이터(Brain Navigation System)를 활용한 수술 계획

브레인 네비게이터를 통해 수술 접근 경로를 정확히 설정하고, 정상 뇌 조직 손상을 최소화하면서 병변 제거의 정확도를 높입니다.

03 3개의 양압 수술실 운영

리더스 동물의료원은 3개의 양압 수술실을 운영하여 외부 공기 유입을 차단하고 청정도를 유지합니다. 이는 감염 위험을 낮추고, 고난도 뇌·신경 수술을 보다 안전한 환경에서 시행하기 위한 필수 조건입니다

04 분과별 전문 수의사 협진 시스템

신경과, 영상의학과, 마취과 등 각 분야의 전문 수의사가 진단부터 수술, 회복 과정까지 함께 협진합니다. 이를 통해 한 가지 관점이 아닌 다각적인 분석과 치료 계획 수립이 가능하며, 반려동물에게 보다 안전하고 체계적인 진료를 제공합니다.

리더스동물의료원의 뇌종양 수술

MRI 기반 정확 진단

반려동물의 뇌종양을 정확하게 평가하기 위해 사용되는 핵심 영상 진단 장비입니다.

MRI는 뇌 조직의 미세한 구조와 병변을 고해상도로 촬영할 수 있어, 종양의 위치·크기·경계는 물론 주변 신경 조직과의 관계까지 정밀하게 확인할 수 있습니다. CT나 X-ray로는 구분이 어려운 연부조직 변화까지 확인할 수 있어, 종양의 종류를 감별하고 수술 가능 여부접근 방향을 판단하는 데 중요한 기준이 됩니다.

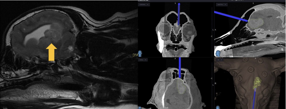
브레인 네비게이터

CT·MRI 기반 3D 재구성과 실시간 위치 확인으로 반려동물 뇌수술의 정확성과 안전성을 높이는 영상 유도 수술 시스템입니다.

수술 전에는 뇌 구조를 3차원으로 재구성해 접근 경로를 계획하고, 수술 중에는 병변 위치와 경로를 확인하며 보다 정밀한 접근을 지원합니다.

브레인 네비게이터 장비 사진
수술 중 브레인 네비게이션 화면
뇌수술 전후 MRI 비교 이미지

브레인 네비게이터 장점

정확성 향상 뇌 구조를 정확하게 파악하여 수술의 정확성을 높입니다.
안전성 강화 주변 조직 손상을 최소화하여 수술의 안정성을 높입니다.
수술 시간 단축 정확한 계획과 안내를 통해 수술시간을 단축합니다.
합병증 위험 감소 정확하고 안전한 수술로 합병증 발생 가능성을 낮춥니다.

브레인 네비게이터 적용 가능 질환

뇌종양 절제 종양의 정확한 위치 파악 및 주변 조직 손상 최소화.
뇌수두증 확장된 뇌실의 정확한 위치에 카테터 삽입을 통한 VP shunt 장착술을 통한 질환 및 증상 개선
기능성 뇌종양 수술 뇌하수체 종양에 의한 쿠싱 등 질환 치료

ICG 염색

형광 물질을 이용해 종양 조직과 주변 혈관 구조를 시각적으로 구분하고, 수술 중 판단과 절제 범위 설정을 돕는 기술입니다.

ICG 형광 염색은 수술 현미경과 함께 사용 시 종양과 정상 조직의 경계를 더 명확하게 확인하도록 돕고, 종양 주변 주요 혈관을 식별해 출혈 위험을 줄이며 절제 범위를 보다 정밀하게 설정하는 데 도움을 줄 수 있습니다.

정상 뇌 조직과 종양 경계가 모호한 경우, 정확한 절제와 기능 보존을 함께 고려한 수술 계획에 유용합니다.

ICG 염색 수술 이미지
수술 이미지
ICG 형광 확인 이미지
형광 확인

수술 중 운영 방식과 목표

정밀 구분 정상 뇌조직과 종양 조직의 경계를 정확히 확인합니다.
경로 설계 수술 전 영상 자료를 바탕으로 안전한 접근 경로를 계획합니다.
형광 확인 형광 염색·형광 내시경으로 발색된 종양 조직을 직접 확인합니다.
수술 목표 정상 뇌조직 손상은 최소화하고, 종양 제거는 최대화하는 것을 목표로 합니다.

브레인 네비게이터 기반 뇌종양 정밀 수술

형광 염색과 고해상도 수술 현미경을 이용해
정상 조직과 종양 조직을 정확히 구분하고
뇌 조직 손상을 최소화하여 수술 후 부작용과
합병증을 줄입니다.

뇌실종양

뇌실질종양

뇌종양생검

뇌종양 항암(ommaya Reservior 장착술)

Ommaya Reservior는 반려동물의 뇌종양 치료를 위해 항암제를 뇌에 직접 전달하는 장치이며, 수술 후 항암을 위해 장착이 됩니다.