인공관절센터

손상된 관절을 인공 보형물로 대체해 통증과 회복 부담을 줄이고, 보다 안전하고 안정적인 보행 회복을 돕습니다.

인공관절센터

다시 마음껏
뛰어놀 수 있게,
인공관절 수술
새로운 기준

리더스 동물의료원 인공관절센터는 고관절과 무릎 관절의 기능 회복을
목표로 하는 정형외과 전문 센터로서, 고난도 수술을 통해 일상의 행복을 되찾아 드립니다.

01

검증된 전문 의료진

전문 수료 과정을 이수한 의료진이 직접 집도하며, 풍부한 임상 경험을 바탕으로 고난도 수술이 요구되는 케이스에서도 안정적인 치료를 제공합니다.

02

고난도 수술 특화

고관절 이형성증, 중증 관절염, 반복 수술로 인한 관절 변형 등 관절 기능이 심각하게 손상된 환자를 위한 최적의 인공관절 솔루션을 제시합니다.

03

체계적인 통합 케어

정확한 진단부터 섬세한 수술, 그리고 수술 후 빠른 회복을 돕는 재활까지
전 과정을 체계적으로 관리하여
완벽한 기능 회복을 돕습니다.

리더스동물의료원 인공관절센터 전문 시스템

01 양압 멸균 수술실 완비

외부 공기 유입을 차단하는 양압 시스템을 적용해 수술실 내부를 항상 청정한 상태로 유지합니다. 감염 위험을 최소화하고, 인공관절과 같은 고난이도 수술에도 안정적인 수술 환경을 제공합니다.

02 사람 수술실 기준 무균 시스템

사람 수술실 기준의 멸균 관리 프로토콜을 적용해 수술 전·중·후 전 과정에서 철저한 감염 관리를 시행합니다. 미세한 오염 가능성까지 고려한 체계적인 무균 시스템으로 수술의 안전성을 높입니다.

03 전문 기구와 장비 완비

고성능 무영등, 전용 수술 테이블, C-arm 영상 장비 등 인공관절 수술에 최적화된 전문 장비를 갖추고 있습니다. 수술 중 관절 정렬과 보형물 위치를 정확하게 확인해 정밀하고 안정적인 수술이 가능합니다.

04 전문 인력

인공관절 수술 전문 교육과 수료 과정을 이수한 의료진이 직접 수술을 집도합니다. 분과별 전문 수의사 협진을 통해 환자의 상태에 맞는 최적의 수술 계획을 수립하고, 수술 후 회복까지 책임집니다.

THR 인공 고관절 수술 전문 교육 수료

THR 인공 고관절 수술 전문 교육 수료 이미지

인공 고관절 수술(Total Hip Replacement, THR)은 전문 교육 과정과 수료 과정을 이수하고 공식 인증을 받은 의료진만 집도할 수 있는 고난이도 정형외과 수술입니다.

리더스 동물의료원 인공관절센터 의료진은 THR 공식 수료 과정을 이수하고 인증을 획득한 후, 인공 고관절 수술을 시행하고 있습니다.

리더스동물의료원 인공관절 수술

인공관절

인공관절 수술은 선천적 또는 후천적인 원인으로 관절이 비가역적으로 손상된 경우 시행되는 수술로, 통증의 원인이 되는 관절을 제거하고 인공 관절을 적용해 관절 기능을 회복시키는 치료 방법입니다.

언제 고려하나요 선천적인 고관절 이형성증, 후천적인 퇴행성 관절염이나 외상성 탈구 등으로 보존적 치료나 대체 수술만으로 충분한 기능 회복이 어려운 경우
적용 가능 대상 대형견뿐만 아니라 소형견과 고양이 환자에게도 적용 가능합니다.
인공관절 수술실 인공관절 수술 대표 이미지
인공관절 수술 대표 이미지
인공관절 수술 대표 이미지

인공관절 수술 소개

인공관절 수술

관절 손상이 심하게 진행되어 기존 수술로 기능 회복이 어려운 경우에는 인공관절 수술을 통해 통증 완화와 보행 기능 회복을 기대할 수 있습니다.

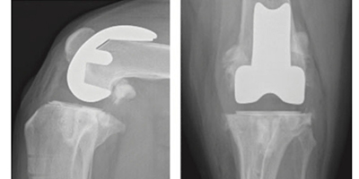
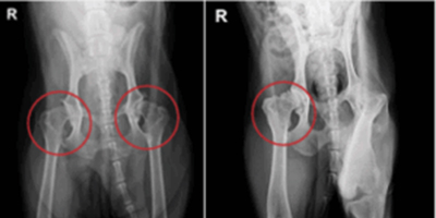
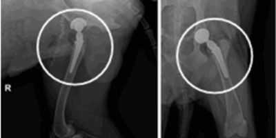
인공 고관절 치환술 Total Hip Replacement (THR) 고관절

고관절 인공관절 수술은 고관절 이형성증, 대퇴두 무혈성 괴사, 외상성 고관절 탈구 등으로 관절이 비가역적으로 손상된 경우에 시행됩니다.

FHO(Femoral Head Ostectomy)와 같은 보존적 또는 대체 수술만으로는 충분한 기능 회복이 어려운 경우, 통증 완화와 정상적인 관절 기능 회복을 위해 인공 고관절 치환술이 효과적인 선택이 될 수 있습니다.

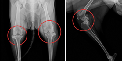
인공 무릎관절 치환술 Total Knee Replacement (TKR) 슬관절

슬관절 인공관절 수술은 중증의 골관절염이나 이전 수술(TPLO, TTA 등) 이후 심한 관절 변형 또는 강직으로 일상적인 보행이 어려운 경우에 시행됩니다.

특히 슬개골 탈구, 십자인대 파열 등으로 반복적인 수술과 관절 손상이 누적된 환자에서 고려됩니다. 과거에는 관절 고정술(stifle arthrodesis)이 대안이었으나, 정상적인 관절 각도 유지와 보행 기능 회복을 위해서는 인공 무릎관절 치환술이 더 나은 선택이 될 수 있습니다.

무릎관절 수술 소개

무릎(슬관절) 수술

인공인대 수술 (Extracapsular Stabilization) 무릎 안정화

인공인대 수술은 관절 바깥에서 인공인대를 이용해 경골과 대퇴골을 연결하여 무릎 관절을 안정화시키는 수술법입니다.
수술 과정이 비교적 간단하고 TPLO 수술에 비해 비용 부담이 적다는 장점이 있습니다.

다만 체중이 가볍고 활동량이 적은 경우에는 효과적일 수 있으나, 체중이 많이 나가거나 활동량이 높은 반려견에서는 인공인대의 이완 또는 파열 위험이 존재합니다. 이러한 경우에는 추가적인 안정화를 위해 TPLO 수술이 필요해질 수 있으며, 수술 후 일정 기간 동안 움직임 제한이 필요하다는 점도 고려해야 합니다.

TPLO 수술 (Tibial Plateau Leveling Osteotomy) 중·대형견 활동량 높음

TPLO 수술은 경사진 경골 고원을 절골한 뒤 회전시켜 무릎 관절의 각도를 평평하게 조절하는 수술법입니다.

관절을 지지하는 인대에 의존하지 않고 관절 구조 자체를 안정화시켜 슬관절의 불안정성을 근본적으로 완화할 수 있습니다.
이로 인해 중형견·대형견, 활동량이 많은 반려견에서 특히 우수한 예후를 보이며, 최근에는 인공인대 수술의 한계를 보완하는 대표적인 십자인대 수술 방법으로 시행되고 있습니다.