영상의학센터

내과·외과·전공 영상의학의 협진으로 진단부터 치료 계획까지 한 단계 더 빠르고 정확하게 완성합니다.

지점 안내

분당점과 동탄점 모두 최신 장비 기반의 영상 진단 체계를 운영합니다

두 지점 모두 동일한 기준의 영상의학 진단 환경을 갖추고, 반려동물의 상태를 정확히 파악하기 위한 검사와 안내를 일관된 흐름으로 제공합니다

최신 영상 진단 장비를 기반으로 한 검사 환경
검사 목적·과정·결과에 대한 단계별 안내
진단 결과를 바탕으로 한 이후 진료 방향 상담

분당점 영상의학센터

동탄점 영상의학센터

'치료 방향의 80%는 초기 영상검사에서 정해집니다.'

MRI·CT는 겉으로 보이지 않던 원인을 확인하고, 치료 계획을 세우기 위해 진행하는 정밀 검사입니다.
필요한 부위를 빠르게 확인해 진단과 치료 방향을 더 명확하게 잡는 데 도움이 됩니다.

MRI : Canon Vantage Elan 1.5T AiCE

MRI 검사, AI 딥러닝으로
마취 시간은 줄이고 진단은 더 정밀하게

POINT 01

마취 시간 최대 40% 단축

POINT 02

AI 기반 선명도 향상

POINT 03

인식칩 제거 불필요

POINT 04

응급 프로토콜 적용

검사 시간 최대 40% 단축, 더 빠르게 촬영해 마취 부담을 줄이고

AI 기반 선명도 향상, 노이즈를 줄여 더 또렷하게 봅니다.

인식칩·금속 아티팩트 감소 기법 도입으로 생기는 영상 깨짐을 줄이고

응급 프로토콜 도입으로 응급 멘탈 저하 환자 대상 마취 없이 촬영합니다.

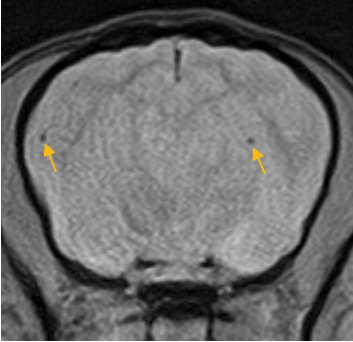
미세 뇌손상 정밀 확인(DWI)

아주 작은 손상·미세출혈 변화까지 확인에 도움됩니다.

(참고사진 : 2mm 이내의 미세 뇌출혈 환자)

뇌신경·신경근 정밀 평가

신경이 눌리거나 염증이 의심될 때 구조 확인에 도움됩니다.

(참고사진 : 중이·내이 염증으로 8번 뇌신경(청각·균형)에 변화가 보이는 사례)

뇌 대사 기능 평가(MRS)

종양·염증 등 감별에 참고가 되는 대사 정보를 확인합니다.

(참고사진 : 뇌 병변이 의심되는 환자에서 대사 정보를 확인하는 사례)

혈관 정밀 검사(MRA)

혈관 상태를 확인해 이상 소견 평가에 도움됩니다.

(참고사진 : 후지 불완전 마비 보이는 환자에서 동맥혈전증 MRA 영상)

CT : Canon Aquilion start 16 AiCE

CT 검사, AI 딥러닝으로
방사선 노출은 줄이고 진단은 더 정확하게

POINT 01

방사선 노출 최소화(저선량 촬영)

POINT 02

AI 기반 선명도 향상(AiCE)

POINT 03

조영제 사용량 감소에 도움

POINT 04

3D 재구성으로 구조·범위 평가

AI 저선량 촬영으로 방사선 노출을 줄이면서도, AiCE 기반 재구성으로 더 선명한 영상을 확인합니다.
필요 시 조영제 사용 부담을 낮추는 데 도움이 되며, 3D 재구성으로 병변의 위치와 범위를 입체적으로 평가합니다.

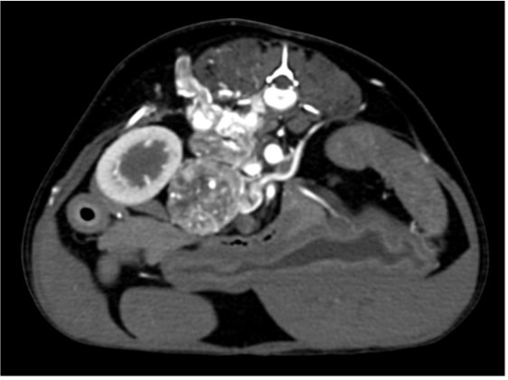
복부 장기 정밀 확인

복부 장기의 변화와 종괴를 단면으로 확인하는 데 도움됩니다.

(참고사진 : 복부 종괴가 의심되는 환자의 CT 영상)

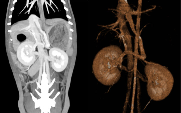
혈관·장기 3D 확인

혈관과 장기 구조를 함께 확인해 수술·치료 계획에 도움됩니다.

(참고사진 : 혈관 이상 또는 종양 평가가 필요한 환자의 3D CT 영상)

뼈 구조 3D 평가

골절·변형·병변 범위를 입체적으로 확인하는 데 도움됩니다.

(참고사진 : 두개골/안면 골병변이 의심되는 환자의 3D CT 영상)

Canon Aplio i700

초음파 검사, 한 번에 폭넓게
다중 모드로 더 정밀하게

POINT 01

하이엔드 스펙 정밀 초음파 (복부, 심장, 흉부, 종양)

POINT 02

미세 혈류 정밀 평가(SMI)

POINT 03

장기·종괴 정밀 확인

초음파는 방사선 없이 진행하며, 실시간으로 장기 상태를 확인할 수 있습니다.
고해상도 초음파로 복부 장기의 구조를 선명하게 확인해, 이상 소견을 빠르게 파악하는 데 도움됩니다.
다양한 모드 초음파를 함께 활용해 장기 내부의 상태를 폭넓게 살펴보고, 필요한 경우 미세 혈류(SMI) 평가도 가능합니다.
이런 과정은 염증·종양 등 감별에 참고가 되며, 치료 전후 변화 확인에도 도움이 됩니다.