안녕하세요. 동탄역에 위치하고 있는 365일 24시, 야간 응급 대응이 가능한 2차 동물병원 24시 동탄 리더스 동물의료원입니다.
반려견이 갑자기 소변에 피가 섞인 혈뇨를 보거나 화장실을 자주 가는 모습을 보이면 보호자들은 보통 방광염을 먼저 떠올리게 됩니다. 실제로 강아지 혈뇨의 원인은 요로감염에 의한 세균성 방광염인 경우가 많아 동물병원에서는 항생제 치료를 먼저 시작하는 경우도 흔합니다.
하지만 항생제를 먹어도 혈뇨가 계속된다면 다른 원인을 의심해야 합니다. 이때, 반드시 고려해야 할 질환이 바로 방광 이행상피암종(Transitional Cell Carcinoma, TCC)입니다.
방광 이행상피암종(TCC)이란 무엇인가요?
방광 이행상피암종은 방광 내벽을 구성하는 이행상피에서 유래한 ‘악성’ 종양으로, 강아지 방광에서 가장 흔하게 관찰되는 종양입니다. 양측 요관(ureter)과 요도(urethra)의 개구부가 위치한 방광 삼각(trigone)에서 주로 발생하며, 종양이 진행됨에 따라 요도나 전립선으로 퍼지면서 배뇨 곤란을 일으키거나 다른 장기로 전이되면서 사망에 이르게 됩니다.

정상견(좌)과 방광 이행상피암종 환견(우) 모식도 (사진=Purdue University College of Veterinary Medicine)
방광 종양은 어떻게 진단할까요?
방광 이행상피암종의 초기 증상은 방광염과 매우 비슷하여 단순히 증상만으로는 구별하기가 어렵기 때문에, 진단을 위해 몇 가지 검사가 필요합니다.
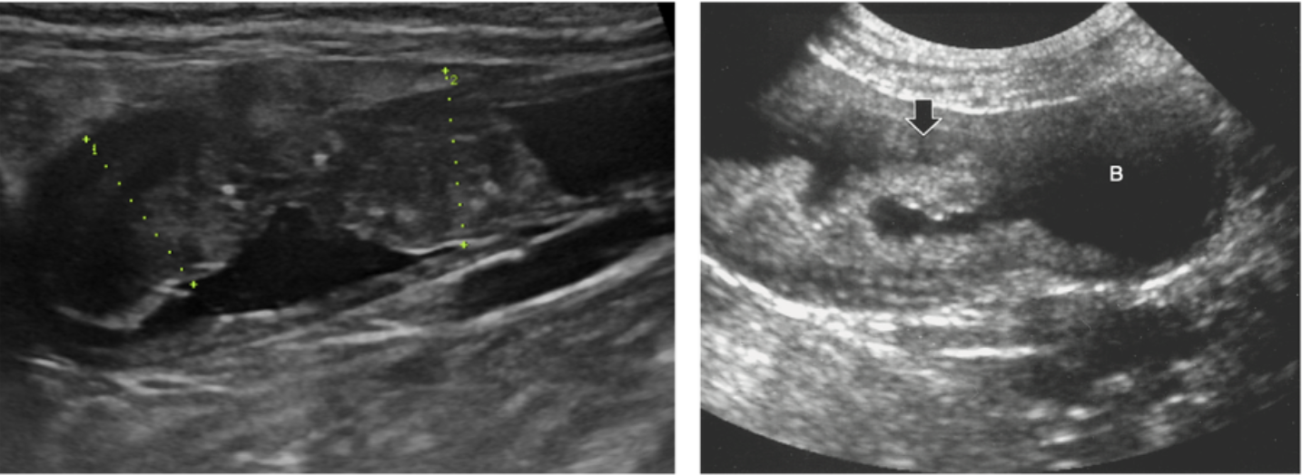
먼저, 복부초음파를 통해 방광 내 종괴 등 구조적인 변화를 확인합니다. 하지만, 만성적인 방광염에 의해 방광 점막에 용종이 형성된 용종성 방광염(polypoid cystitis)도 유사한 형태를 보여, 정확한 감별을 위해서는 자연 배뇨나 요도 카테터를 통해 채취한 소변을 이용한 추가 검사가 필요합니다.

복부초음파에서 관찰되는 방광 이행상피암종(좌)과 용종성 방광염(우) (사진=Small Animal Diagnostic Ultrasound, 4th ed)
세포검사를 통해 현미경으로 소변 내 종양 세포를 직접 확인하거나, 최근에는 이행상피암종 환견의 80% 이상에서 발견되는 BRAF 유전자 돌연변이 유무를 소변 내 존재하는 DNA에서 분석하여 종양 가능성을 평가합니다. 특히, BRAF 유전자 돌연변이 검사는 민감도와 특이도가 높아 감별이 어려운 상황에서 중요한 보조 진단 도구로 활용되고 있습니다.

세포검사를 통한 종양 세포 확인(위) 및 BRAF 유전자 돌연변이 검사(아래) (사진=(주)펫온코케어)
상기 검사들의 결과에도 종양의 여부가 확실하지 않다면, 수술이나 방광 내시경 등을 통해 조직 일부를 떼어내 조직병리검사를 진행하여 확진합니다.

방광 절제(좌) 또는 방광 내시경(우)을 통한 조직 채취 (사진= Manual of Small Animal Soft Tissue Surgery, 2nd ed, Small Animal Endoscopy, 3rd ed)

방광 이행상피암종(TCC)의 치료 방법
이행상피암종의 치료는 완치가 아닌 질병의 진행을 늦추고 반려견의 삶의 질을 유지하는 데 목적을 두며, 크게 수술, 항암화학요법(chemotherapy), 보존치료 3가지를 통해 이루어집니다.
수술적 절제는 종양의 위치에 따라 어려울 수 있으며, 항암화학요법과 보존 치료를 병용하는 내과적 치료가 가장 흔하게 시행됩니다. 그 밖에도, 종양에 의한 요로 폐색이 일어난 응급 상황에서는 소변이 밖으로 배출될 수 있도록 도와주는 스텐트 삽입이 필요할 수 있습니다.

항암화학요법 및 보존 치료에 사용되는 약물들 (사진= 약학정보원, 녹십자수의약품)
혈뇨가 계속된다면 반드시 확인해야 합니다
치료 방법과 종양의 진행 정도에 따라 차이가 있지만, 적절한 치료가 이루어질 경우 수개월에서 1년 이상 생존하는 사례도 보고되고 있습니다. 따라서, 지속적인 치료에도 혈뇨가 개선되지 않는다면 방광 종양을 감별하기 위한 검사를 고려해보는 것이 좋습니다.
조기 진단은 치료의 선택의 폭을 넓히고 반려견의 삶의 질을 유지하는 데 중요한 역할을 할 수 있습니다.

24시 동탄리더스 동물의료원은 24시간 운영하는 동탄 지역 2차 동물병원으로, 고난도 종양 수술부터 중환자 집중 케어까지 체계적인 진료 환경을 갖추고 있습니다.
반려동물의 작은 변화라도 가볍게 넘기지 마시고 정확한 검사와 빠른 판단으로 아이의 생명을 지켜주시길 바랍니다.
