안녕하세요. 동탄역에 위치하고 있는 365일 24시, 야간 응급 대응이 가능한 2차 동물병원 24시 동탄 리더스 동물의료원입니다.
반려묘가 갑자기 기운이 없고 식욕이 떨어지거나 화장실을 자주 가지 않는 모습을 보이면 단순한 컨디션 문제로 생각하기 쉽습니다. 하지만 이러한 변화 뒤에는 급성 신부전과 같은 신장 질환이 숨어 있는 경우도 적지 않습니다.
급성 신부전은 신장의 여과 기능이 짧은 시간 안에 급격히 저하되는 질환으로, 체내 노폐물과 전해질 균형이 빠르게 무너질 수 있습니다. 특히 소변이 전혀 생성되지 않는 무뇨 상태가 나타난다면 단순한 수액 치료만으로 회복이 어려운 단계일 수 있습니다. 이러한 경우에는 체내에 축적된 노폐물과 전해질 불균형을 빠르게 교정하기 위해 혈액투석 치료가 필요할 수 있습니다.
오늘은 고양이 급성 신부전에서 혈액투석이 고려되는 상황과 실제 임상 사례를 중심으로 설명드리겠습니다.

고양이 급성 신부전이란 무엇인가요?
고양이 급성 신부전(Acute Kidney Injury)은 짧은 시간 안에 신장 기능이 급격히 저하되면서 혈액 속 노폐물과 독성 물질이 정상적으로 배출되지 못하는 상태를 말합니다. 정상적인 신장은 혈액을 여과하여 노폐물을 소변으로 배출하고 체내 수분과 전해질 균형을 유지하는 중요한 역할을 합니다.
하지만 급성 신부전이 발생하면 이러한 기능이 갑자기 무너지면서 요독이 빠르게 축적되고 전신 상태가 급격히 악화될 수 있습니다. 특히 고양이에서는 식욕 저하, 무기력, 구토, 소변량 변화와 같은 비특이적인 증상으로 시작되는 경우가 많습니다. 치료 시기가 늦어질수록 신장 손상이 진행될 수 있기 때문에 빠른 진단과 치료가 매우 중요합니다.
혈액투석이 필요한 급성 신부전 상태
급성 신부전 환자에서 모든 경우에 혈액투석이 필요한 것은 아닙니다. 많은 환자들은 수액 치료와 약물 치료만으로도 신장 기능이 회복되는 경우가 있습니다.
하지만 다음과 같은 상황에서는 보다 적극적인 치료가 필요할 수 있습니다.
특히 소변이 전혀 생성되지 않는 무뇨 상태는 신장이 여과 기능을 거의 수행하지 못하고 있다는 신호일 수 있습니다. 이 경우 체내 노폐물과 전해질 이상이 빠르게 진행될 수 있기 때문에 단순한 수액 치료만으로는 회복을 기대하기 어려울 수 있습니다.
또한 신장 염증이나 심한 조직 손상이 동반된 경우에는 신장 기능 회복까지 시간이 필요하기 때문에 그동안 체내 환경을 안정적으로 유지하는 치료가 필요합니다.
이러한 상황에서 시행되는 치료가 바로 혈액투석 치료입니다. 혈액투석은 체외에서 혈액을 정화하여 체내에 축적된 요독과 전해질 이상을 교정하고 신장이 회복할 수 있는 시간을 확보하는 중요한 치료 방법입니다.

실제 내원 사례로 보는 ‘고양이 급성 신부전 혈액투석 치료’
7살의 러시안블루 고양이 환자가 소변이 전혀 생성되지 않는 무뇨기 상태의 급성 신부전으로 내원했습니다. 환자는 보호자와 문진을 통해 혈액검사와 복부 초음파 검사를 실시하였습니다.
환자는 내원 당시 시행한 혈액검사에서는 신장 기능을 반영하는 BUN과 Creatinine 수치가 크게 상승해 있었으며, 이는 체내에 요독 물질이 상당히 축적된 상태임을 의미합니다. 또한 Phosphorus와 Potassium 수치 역시 상승해 전해질 불균형이 진행되고 있는 상황이었습니다. 특히 환자는 소변이 전혀 생성되지 않는 무뇨 상태였기 때문에 체내 노폐물을 스스로 배출할 수 없는 상태로 판단되었습니다.

내원 당시 혈액검사 수치 / 출처: 동탄리더스동물의료원
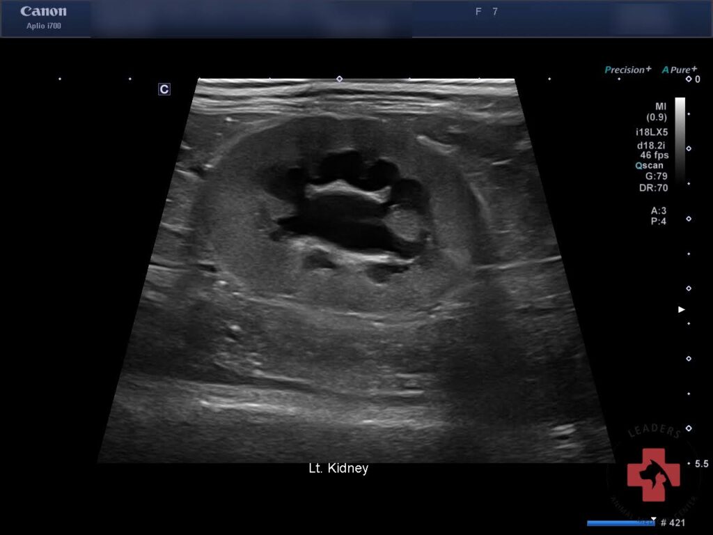
이후 실시한 본원 초음파 검사에서 양측 신장 주위 복막염 신장 피질 비후 양측 신장 신우 확장이 동반된 급성 신부전 변화가 확인되었습니다.


내원 당시 초음파검사(좌측) / 출처: 동탄리더스동물의료원


내원 당시 초음파검사(우측) / 출처: 동탄리더스동물의료원
무뇨 상태와 양측 신장 염증 상태를 종합적으로 고려했을 때 단순 수액 치료만으로는 회복 가능성이 낮다고 판단되어 혈액투석 치료(CRRT)를 진행했습니다.


환자 혈액투석 치료사진 / 출처: 동탄리더스동물의료원
혈액투석 치료는 체내에 축적된 노폐물과 전해질 불균형을 빠르게 교정하고 신장이 회복할 수 있는 시간을 확보하는 치료입니다.
해당 환자는 다음과 같은 과정으로 치료가 진행되었습니다.
내원 당시 혈액검사에서는 신장 기능을 나타내는 수치가 크게 상승해 있었으며, 소변이 전혀 생성되지 않는 무뇨 상태가 확인되었습니다. 이러한 상태에서는 체내 노폐물과 전해질 이상이 빠르게 악화될 수 있기 때문에 우선적으로 1차 혈액투석 치료를 시행했습니다.
1차 혈액투석 이후 다시 혈액검사를 진행하여 신장 수치의 변화와 환자의 전신 상태를 면밀히 확인했습니다.

1차 혈액투석 이후 혈액검사 수치 / 출처: 동탄리더스동물의료원
하지만 여전히 신장 기능이 충분히 회복되지 않은 상태였기 때문에 추가적인 체내 환경 안정화를 위해 2차 혈액투석을 진행했습니다.

2차 혈액투석 이후 혈액검사 수치 / 출처: 동탄리더스동물의료원
두 번째 혈액투석 이후 환자는 소변 생성이 시작되었으며, 이후 다뇨기 단계로 전환되면서 신장 기능이 회복되는 양상을 보였습니다. 입원 기간 동안 신장 수치와 소변 생성량을 지속적으로 모니터링했으며 자발적인 식욕도 확인되었습니다.
전반적인 상태가 안정적으로 회복되어 퇴원 후 외래 모니터링을 진행하게 되었습니다.

환자 혈액검사 수치 총 비교 / 출처: 동탄리더스동물의료원
동탄리더스 혈액투석 치료 시스템
동탄리더스 동물의료원에서는 급성 신부전과 같은 중증 신장 질환 환자를 위해 CRRT(지속적 신대체요법) 기반 혈액투석 치료를 시행하고 있습니다. CRRT는 신장이 정상적으로 수행해야 하는 노폐물 제거와 전해질 균형 조절을 지속적으로 대신하며 신장이 회복할 수 있는 시간을 확보하는 치료입니다.
본원은 더 정교하고 안전한 투석 치료를 위해 독일 FMC사의 최첨단 CRRT 장비 multiFiltrate PRO를 운용하고 있습니다. multiFiltrate PRO는 몸집이 작은 강아지나 고양이, 혹은 상태가 위중한 중환자에게도 적용할 수 있도록 설계된 장비입니다.
저자극 투석 방식으로 노폐물을 천천히 제거하고 정밀한 체액 조절을 통해 혈압 변화 부담을 줄이며, 항응고제 자동 제어 시스템으로 출혈 부작용을 최소화하고 내장된 체온 유지 시스템으로 치료 중 저체온을 예방할 수 있습니다.

급성 신부전에서 혈액투석이 중요한 이유
급성 신부전 치료에서 가장 중요한 목표는 신장이 회복될 수 있는 시간을 확보하는 것입니다. 혈액투석은 신장의 기능을 완전히 대신하는 치료는 아니지만 신장이 회복되는 동안 체내 환경을 안정적으로 유지하는 역할을 합니다. 특히 무뇨 상태나 심한 신장 손상이 동반된 경우에는 이러한 치료가 환자의 예후에 중요한 영향을 미칠 수 있습니다.
따라서 급성 신부전 환자에서는
- 소변 생성 여부
- 전신 상태
- 염증 반응
- 신장 손상 정도
등을 종합적으로 평가하여 치료 방향을 결정하게 됩니다.
24시 동탄리더스 동물의료원은 24시간 운영하는 동탄 지역 2차 동물병원으로, 급성 신부전과 같은 중증 신장 질환 치료부터 혈액투석 치료까지 가능한 진료 환경을 갖추고 있습니다.
특히 혈액투석 치료는 환자의 혈압, 전해질 변화, 체액 균형 등을 지속적으로 확인해야 하는 치료이기 때문에 치료 과정 전반에서 전문 의료진의 면밀한 모니터링이 매우 중요합니다. 본원에서는 혈액투석 치료가 진행되는 동안 환자의 상태 변화를 실시간으로 확인하며 안전한 치료가 이루어질 수 있도록 전문 의료진이 지속적으로 환자를 관리하고 있습니다.
급성 신부전은 조기에 적절한 치료가 이루어질 경우 회복을 기대할 수 있는 질환입니다. 반려동물이 보내는 작은 이상 신호라도 놓치지 마시고, 필요할 때 빠르게 전문 진료를 선택해 아이의 신장 건강을 지켜주시길 바랍니다.
