
분당 동물병원 강아지 지알디아 증상 치료 후기
“3주 넘게 설사를 반복했어요. 처음엔 장염인 줄 알고 약을 먹였는데, 전혀 나아지질 않더라고요.
체중은 눈에 띄게 줄고, 하루에도 몇 번씩 토하고 힘들어하는 모습이 너무 마음 아팠어요.”
12살 된 중성화 암컷 강아지를 데리고 분당 리더스 동물병원을 찾은 보호자 분의 이야기입니다.
이미 다른 분당 동물병원에서 염증성 장질환(IBD)으로 진단을 받고 치료를 받았지만 상태는 나아지지 않았죠.
구토, 식욕부진, 설사는 지속됐고 체중은 6.8kg에서 4.9kg까지 감소해 있었습니다.

신체검사 상 신체충실지수 (BCS; body condition score)가 9단계 중 2단계로 체중이 많이 감소된 상태
강아지 지알디아 감염, 단순 장염과 다릅니다
‘지알디아’는 강아지의 소화기관에 기생하는 원충성 기생충입니다.
오염된 물, 다른 동물의 배설물, 청결하지 않은 식기나 장난감을 통해 아주 쉽게 감염됩니다.
무서운 건, 정기적인 내부 구충이 되지 않은 경우엔 연령과 무관하게 감염될 수 있다는 점입니다.
특히 사람에게도 전염 가능한 인수공통감염병이기 때문에, 반려견뿐 아니라 보호자의 건강 관리도 함께 중요해집니다.
이런 증상이 반복된다면 꼭 검사 받아보세요
지알디아 감염은 장염이나 IBD처럼 보일 수 있습니다. 그래서 진단이 늦어지기도 하죠.
다음과 같은 증상이 3일 이상 지속된다면, 지알디아 감염을 의심해보는 것이 필요합니다.
- 묽거나 점액성의 설사
- 지속적인 구토와 식욕 부진
- 체중 감소
- 배에서 꾸르륵 소리가 나거나 혈변
- 기력 저하, 활동성 감소
이번 환자도 처음엔 IBD로 의심돼 스테로이드 치료를 받았지만, 호전이 없었습니다.
본원에서는 감염성 질환을 포함한 GI panel을 진행했고,
그 결과 지알디아 양성 반응이 확인되어 정확한 원인을 찾아낼 수 있었죠.
진단과 치료, 어떻게 진행되었을까?
환자의 상태는 신체충실지수 BCS 2/9, 5% 탈수, 혈액검사상 알부민 저하 등
전반적으로 중증 상태였습니다.
다행히 이물이나 종양 등 다른 문제는 확인되지 않았고, 감염 원인을 정확히 찾은 후 치료 방향이 빠르게 정리되었습니다.


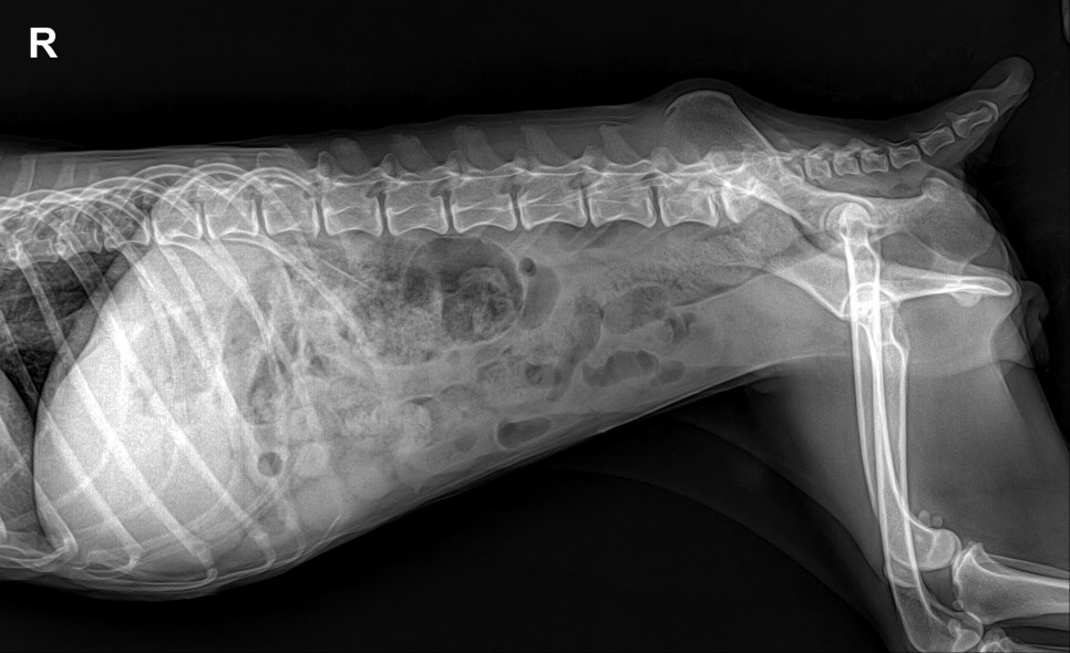
복부 방사선 검사: 이물 없음


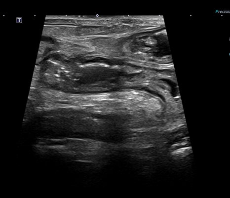
복부 초음파: 위장염, 미란 소견


감염체 검사: 파보·코로나·홍역 음성, 지알디아 양성
진단 항목
- 복부 방사선 검사: 이물 없음
- 복부 초음파: 위장염, 미란 소견
- 감염체 검사: 파보·코로나·홍역 → 음성, 지알디아 → 양성
- 혈액검사: Albumin 저하, CRP 상승
치료 과정
- 알부민 수혈 1회
- 입원 치료 및 지알디아 치료 약물 투여
- 구충제 + 항생제 복합 처방
- 대증요법 및 탈수 교정
- 약 1개월 관리 후 완치 및 회복

치료가 끝났다고 끝이 아닙니다
강아지 지알디아는 완치 확인을 위한 재검사가 꼭 필요합니다.
치료 후에도 1개월 이상 기생충이 남아 있을 수 있기 때문입니다.
또한 같은 공간에서 생활하는 강아지나 고양이가 있다면 동시 검사 및 예방 구충이 필요하고,
사람에게 전염될 가능성도 있으므로 배변 후 손 씻기, 물·식기 세척을 철저히 해야 합니다.


알부민 수혈 1회 진행 후, 점차 회복
“왜 이렇게까지 악화됐을까요?”
강아지 지알디아는 흔한 감염이지만, 놓치기 쉽고 방치되면 심각한 문제로 이어질 수 있습니다.
특히 고령 반려동물이나 면역력이 떨어진 아이들은 빠르게 탈수되고, 저단백혈증까지 나타날 수 있죠.
이번 사례에서도 보호자 분은 이렇게 말씀하셨습니다.
“구충제만 먹이면 되는 거였는데… 더 빨리 알았더라면 이렇게까지 고생하진 않았을 텐데요.”
이 말 안에는 안도감과 동시에, 내 탓인 것 같아 미안한 마음도 담겨 있었습니다.
그럴 필요 없습니다.
많은 보호자들이 증상의 비슷함 때문에 오진하거나 치료가 지연되곤 합니다.
중요한 건, 정확한 진단과 치료로 건강을 되찾았다는 점이죠.

분당 리더스 동물병원이 왜 특별한가요?
분당 동물병원 24시 리더스는,
중증 환자와 고령 반려동물, 타 병원에서 진단되지 않은 환자의 치료에 강점을 가진 병원입니다.
- 분과별 전문 수의사 협진 체계
- AAHA, VECCS 국제 인증 병원
- 중재적 시술, 감염병·응급·중환자 전문센터 보유
- 내시경, 초음파, 감염 패널 등 정밀 진단 가능 장비 보유
이번 사례처럼, 단순한 장염처럼 보이는 증상 뒤에 숨어 있는 감염병도
빠르고 정확하게 진단하고 치료할 수 있는 시스템이 갖춰져 있습니다.
지금 바로 확인해보세요
강아지가 설사를 반복하거나 식욕을 잃고 있다면,
또는 기력 없이 축 늘어져 있고 평소보다 마른 느낌이 든다면,
단순한 탈이 아닐 수 있습니다.
지금 우리 아이도 지알디아 감염으로부터 고생하고 있을지 모릅니다.
지금 바로 가까운 병원에서 GI 감염체 검사를 받아보세요.
정기적인 내부 구충도 절대 잊지 마시고요.
정확한 진단이 치료의 첫걸음입니다.